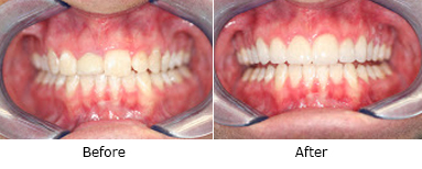
SMILE GALLERY

Dr. Lewis and his expert staff members have spent the last decade transforming the smiles of hundreds of patients just like you with excellent tooth repair techniques. Take a look at our smile gallery and see how we can give you a complete smile makeover. Call (801) 572-3211 to schedule an appointment today, and be sure to mention our $25 off any service special.

CALL FRONT DESK OR TEXT: (801) 572-3211

OR FILL OUT THE FORM BELOW TO REQUEST AN APPOINTMENT

    OUR LOCATION: 10819 S 700 E, SANDY, UTAH 84070

    OFFICE HOURS: Mon & Wed • 8AM – 5PM | Tues • 8AM – 2PM | Thurs • 8AM – 6PM